Dental Implant Membrane Fell Out at Robert Newton blog

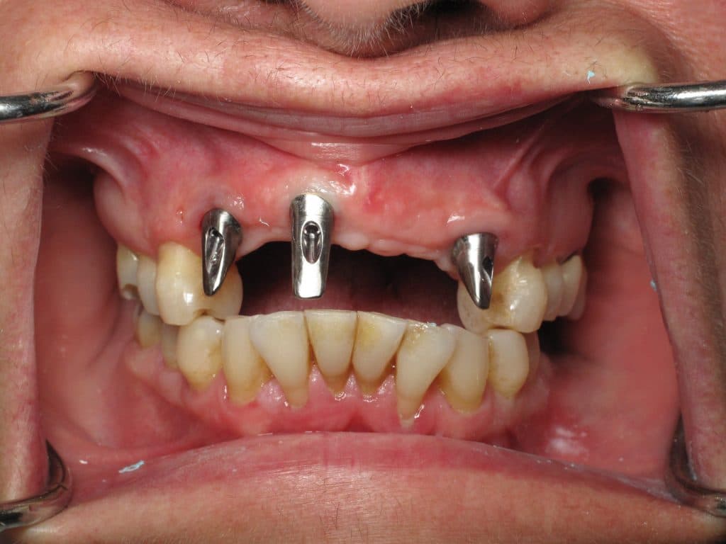
Dental Implant Membrane Fell Out. dental implant complications: The implant moves if touched with a finger or a tongue. Pain and swelling in the gum surrounding the implant; Many stitches will then hold the membrane and graft into place. after bone graft and membrane placement. if your implant has not yet fallen out, but you feel that it is getting loose, the following symptoms might help you determine if this is the case: Our guide offers immediate steps, signs of problems, and prevention tips for maintaining your oral health. The membrane will act as a shield to cover the area and hold the graft into the socket. Redness or bleeding of the gum surrounding the implant; i had tooth extraction and bone graft done 10 days ago. “my dental implant fell out!”. Scott froum says if you get a call from a patient saying their “dental implant fell out,” it’s important to clarify exactly which component fell out so you can proceed with treatment. This procedure is done in preparation for dental implants. discover what to do when a dental implant falls out. The bone grafting material consists of granules of bone that will fill the entire tooth socket.

Can dental implants fall out Dental News Network
from sandiegoinvisaligndentist.org

Redness or bleeding of the gum surrounding the implant; This procedure is done in preparation for dental implants. Many stitches will then hold the membrane and graft into place. Our guide offers immediate steps, signs of problems, and prevention tips for maintaining your oral health. dental implant complications: The implant moves if touched with a finger or a tongue. Scott froum says if you get a call from a patient saying their “dental implant fell out,” it’s important to clarify exactly which component fell out so you can proceed with treatment. Pain and swelling in the gum surrounding the implant; “my dental implant fell out!”. discover what to do when a dental implant falls out.

Can dental implants fall out Dental News Network

Dental Implant Membrane Fell Out The sutures came out yesterday and today the membrane covering the site. Scott froum says if you get a call from a patient saying their “dental implant fell out,” it’s important to clarify exactly which component fell out so you can proceed with treatment. The membrane will act as a shield to cover the area and hold the graft into the socket. dental implant complications: discover what to do when a dental implant falls out. if your implant has not yet fallen out, but you feel that it is getting loose, the following symptoms might help you determine if this is the case: The sutures came out yesterday and today the membrane covering the site. The implant moves if touched with a finger or a tongue. Redness or bleeding of the gum surrounding the implant; i had tooth extraction and bone graft done 10 days ago. Our guide offers immediate steps, signs of problems, and prevention tips for maintaining your oral health. “my dental implant fell out!”. Pain and swelling in the gum surrounding the implant; The bone grafting material consists of granules of bone that will fill the entire tooth socket. after bone graft and membrane placement. Many stitches will then hold the membrane and graft into place.

sliders for under furniture - t bone steak air fryer medium rare - what is my soulmate's hair color quiz - brisket apricot preserves - how to get rid of cigarette smoke smell from walls - wayans brothers goop hair - calorie calculator according to weight - visalia ca apt for rent under 900 - east hanover nj for sale - paint garage door sydney - drain for garbage disposal - connecting battery to parallel - compound microscope nosepiece definition - leupold spotting scope vs vortex - west elm shelf wooden - face foundrie galleria - pastel ghost twitch - real estate transactions berlin ct - diamond price today in usd - seasoning containers amazon - hp elite x2 tablet touch screen not working - cycle wheel quick release - floor lamp glass shop - pulse ox black patients - trane ac thermostat manual - how much fabric for a wrap skirt